
A chipped tooth can unsettle anyone, whether from biting into something hard, a sports injury, or the wear and tear of age. The first question that arises: Can a chipped tooth grow back? Unfortunately, once damaged, teeth cannot regenerate on their own.
The reassuring part? Various treatments effectively restore both function and appearance, helping you return to your routine with full confidence.
If you live in Woodbridge and have faced this issue, this blog is for you. This vibrant community thrives with days out at Leesylvania State Park or bites at local restaurants, where a minor chip can easily go unnoticed amid the action. That’s why knowing your repair options matters. This guide delves into the common causes of tooth damage, proven ways to repair them, and essential dental care strategies for a lasting, healthy smile.
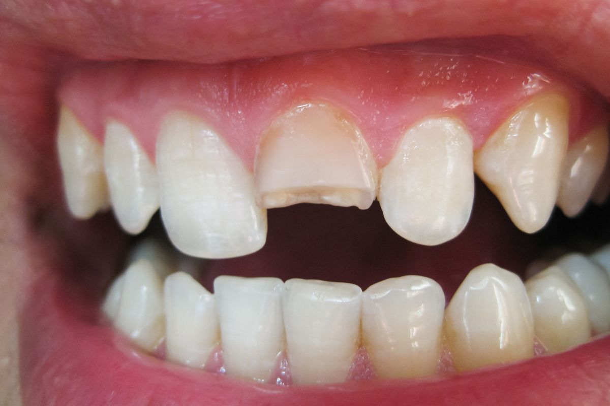
What Happens When A Tooth Chips?
A fractured tooth occurs when a portion of the enamel, the hard outer surface of the tooth, breaks off. The severity of the damage can range from a small cosmetic issue to a serious one that exposes the inner layer of the tooth, dentin.
If the chip is deep, it can cause pain and sensitivity, especially when biting or chewing. This condition also leaves the tooth vulnerable to decay or infection if not treated properly.
It’s common for people to wonder if the tooth can “heal” on its own. Unfortunately, teeth don’t regenerate like skin or bone.
Once the enamel is lost, it doesn’t grow back. That’s why it’s important to see a professional as soon as possible for a proper diagnosis and treatment plan. Pure Dental serves the greater Woodbridge area, Lake Ridge, VA, and the surrounding areas, offering the expert care you need to restore your smile and prevent further damage.
How Do I Know If A Fractured Tooth Is Serious?
Here’s the truth in simple terms: a tiny chip that doesn’t hurt might seem harmless, but it still deserves attention.
Any time enamel is broken, that weak spot becomes vulnerable to decay, bacteria, and deeper fracturing of the tooth. If you feel sharp edges, sensitivity to hot or cold, or discomfort when biting, that’s your body telling you the chip is more than cosmetic.
Your nervous system starts reacting. Pain and sensitivity show that the inner layers of the tooth could be exposed.
What Will My Dental Visit Involve?
Whether the crack is small or more significant, a trusted dentist will begin with a thorough visual exam. This will involve digital X-rays to assess the depth and extent of the damage. From there, the professional will recommend the best course of action to restore the tooth’s function and appearance.
Rest assured, the process is much quicker and more comfortable. With modern techniques and a gentle approach, most repairs are fast, effective, and relatively pain-free.
How Are Chipped Teeth Treated?
The treatment will depend on the severity of the chip and the condition of the tooth. Here are the most common solutions:
- Dental Bonding: For small chips, dental bonding is usually the best option. A tooth-colored resin is applied, shaped, and hardened to blend seamlessly with your natural teeth. This treatment is quick, painless, and often completed in just one visit.
- Veneers: If the damage is more extensive and visible, veneers may be recommended. These thin porcelain shells cover the front of your tooth, improving both its function and appearance. Veneers provide a long-lasting solution, especially for the visible parts of your smile.
- Crowns: For larger chips or teeth with significant damage, a crown is a reliable option. This cap covers the entire tooth, providing strength and stability, ideal for preventing future damage.
- Root Canals and Fillings: If the nerve is exposed and causes pain, a root canal is necessary to remove damaged tissue. Afterward, the specialist will place a crown or filling to restore the tooth’s strength.
Can You Prevent A Tooth From Damaging?
While accidents can happen, there are ways to reduce the likelihood of chipping your teeth. Here’s how you can protect your smile:
- Wear A Mouthguard: If you’re playing sports or engaging in activities like hiking in Neabsco Creek Boardwalk, a mouthguard will help protect your teeth from injury.
- Avoid Hard Foods: Biting down on hard items, such as ice or hard candy, can chip your teeth. Be mindful when eating these items.
- Good Oral Hygiene: Maintaining strong teeth with a consistent oral routine can help prevent issues such as cracks and chips. Brushing, flossing, and regular tooth checkups are essential for maintaining overall tooth health.
When To Seek Immediate Professional Help After Chipping A Tooth?
This is one of the most practical questions locals ask, especially when they’re juggling work, family, and community life in Woodbridge.
You should be seen within a few days, even for a small cracked tooth syndrome (CTS). If there’s pain, sensitivity, or jagged edges, don’t wait, visit our dental office right away. Oral damage deserves timely attention before it becomes a bigger issue.
How To Manage A Cracked Tooth Until You See A Dentist In Woodbridge?
While waiting for your appointment, you can take these steps to prevent further damage and reduce discomfort:
- Avoid Chewing on the Affected Side: This will prevent further stress on the tooth.
- Use Dental Wax: If the sharp edges of the tooth are irritating your gums, you can apply dental wax as a temporary fix.
- Pain Relief: Over-the-counter pain medications can help with discomfort until you see your local oral care provider.
Can A Chipped Tooth Crack Further Over Time?
Yes — and this is crucial for you to understand. Many people don’t realize that a broken tooth isn’t a static problem.
Every time you chew, bite, or clench your jaw, forces are transmitted through your teeth. The damaged condition creates a weak spot, and over time, that stress can cause the crack to spread deeper or even into neighboring teeth. What starts as a minor cosmetic concern can turn into a structural problem that affects how your bite works.
This is why the earlier you address the issue, the more likely you are to preserve natural tooth structure and avoid extensive repairs.
Why Is It Important To Fix A Cracked Tooth Syndrome Quickly?
While a CTS syndrome might seem like a minor issue, leaving it untreated can cause further damage and discomfort. Here’s why quick action is key:
- Infection Risk: Exposing the inner layers of the tooth increases the risk of infection and decay. Bacteria can easily enter the exposed area, leading to more serious oral problems.
- Sensitivity: Breakage that exposes the dentin or nerve can cause extreme sensitivity to hot, cold, or sweet foods. This tenderness can make eating and drinking uncomfortable.
- Aesthetic Concerns: A visible chip can affect your confidence. It shows up when smiling or talking to others.
During your consultation, a professional will assess the condition and recommend the most appropriate treatment. This will help to restore both the function and appearance of your tooth.
Restore Your Smile With Professional Care At Pure Dental
A fractured tooth shouldn’t stop you from living your best life. Whether you’re out enjoying a day at Lake Ridge or attending a local event, your smile plays a key role in your confidence and overall well-being. At our dental practice, we offer the latest in dental care to restore both the appearance and function of your tooth, ensuring you feel excellent about your smile again.
If you’ve chipped a tooth, don’t wait for it to get worse! Get the professional care you deserve today by booking an appointment. Pure Dental serves the greater Woodbridge area, Lake Ridge, VA, and the surrounding areas, offering you reliable, compassionate care when you need it most.
Frequently Asked Questions
1. How long does it take to recover from a fractured tooth?
Recovery time for a fractured tooth varies based on treatment. Typically, mild cases heal within a few days, while more severe fractures requiring oral procedures may take a few weeks to heal fully.
2. Can a fractured tooth cause infection?
Yes, if a fractured tooth exposes the inner tissue, it can allow bacteria to enter, leading to an infection. This may require root canal treatment to prevent further complications and preserve the tooth.
3. Is a cracked tooth repairable without extraction?
In many cases, a cracked tooth can be repaired with fillings, crowns, or bonding. If the crack doesn’t reach the nerve, your dentist can restore the tooth without the need for extraction.
4. What are the symptoms of a tooth that needs a root canal?
Common symptoms of needing a root canal include severe tooth pain, sensitivity to hot or cold, and swelling around the tooth. These indicate deep infection and require immediate attention to save the tooth.
5. Can a chipped tooth cause long-term damage?
While a small chip may not cause immediate damage, neglecting treatment can lead to weakening, infection, or further fracture. Early intervention prevents the chip from turning into a more serious dental issue.